
Backed by science.
Built for impact.
AI detecting lung cancer up to 2 years earlier, increasing survival rate by up to:
AI cuts chest X-ray reading time by nearly:
AI boosts sensitivity on critical findings by up to:
That's the return on investment (ROI) over five years, driving significant time savings and reducing costs.
This is radiology 2.0
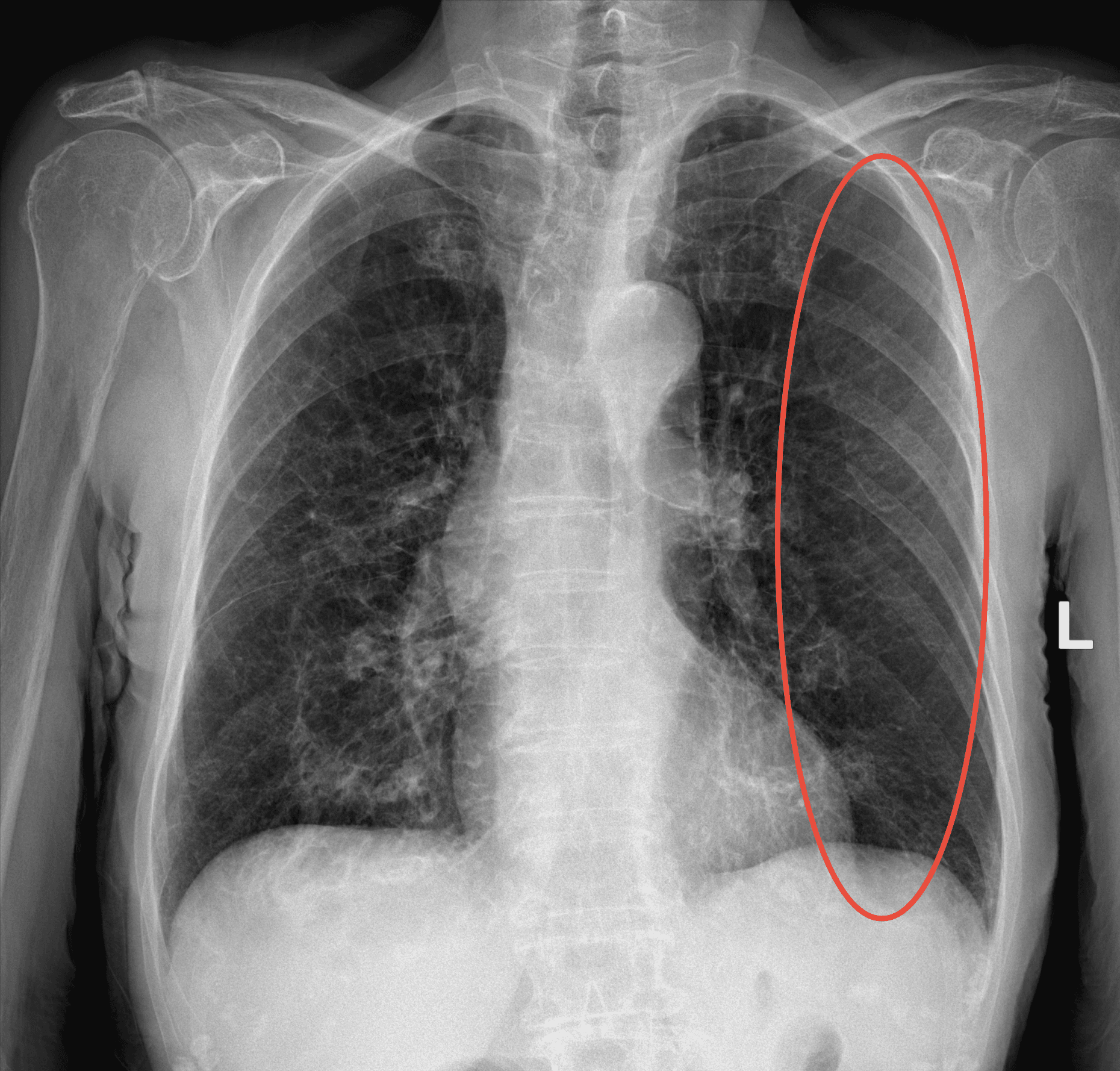
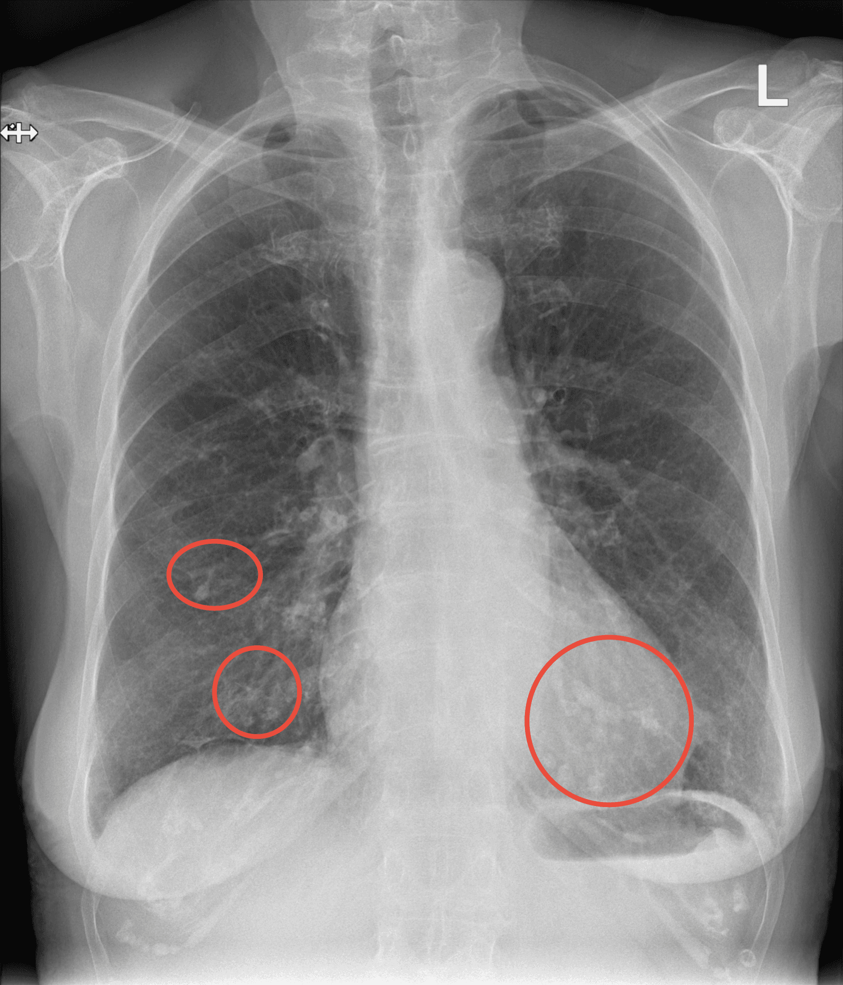
Real time analysis
Every scan analysed in real time. It gives you theconfidence to move faster with a peace of mind.
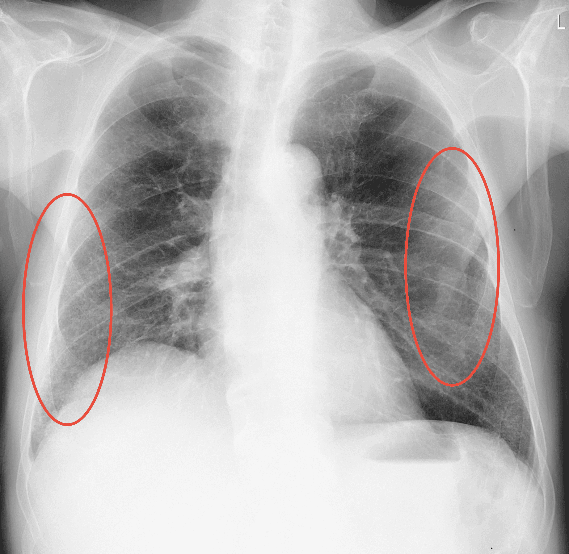
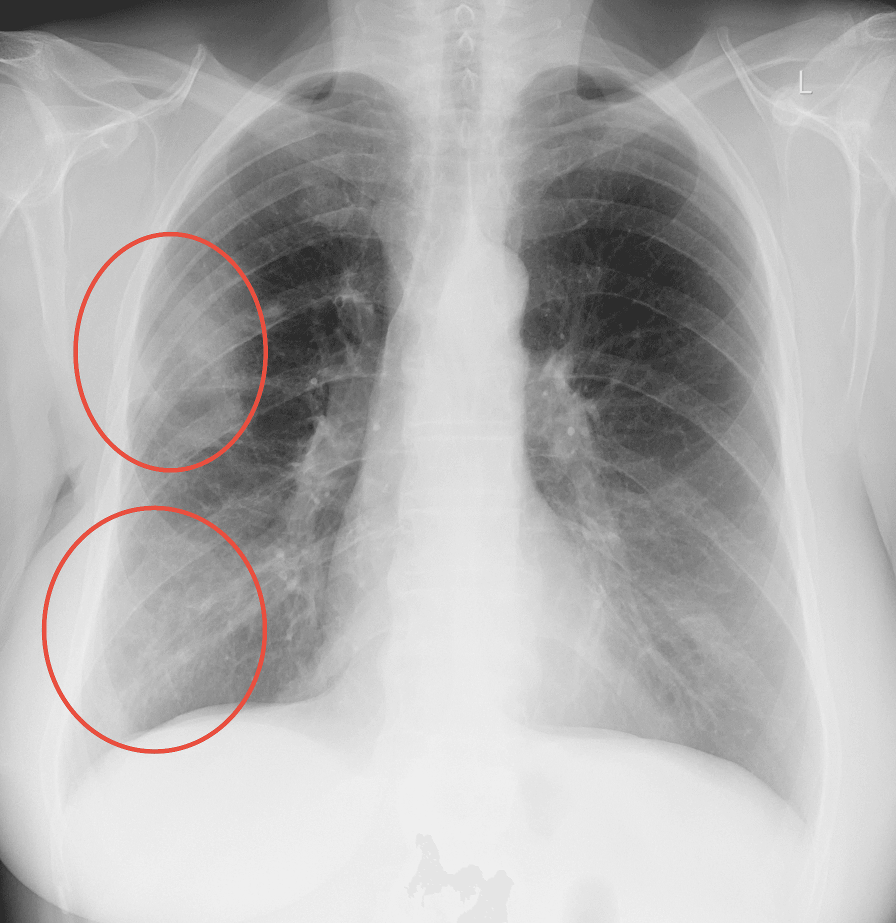
98% certainty
Medusa detected Emphysema in the lungs
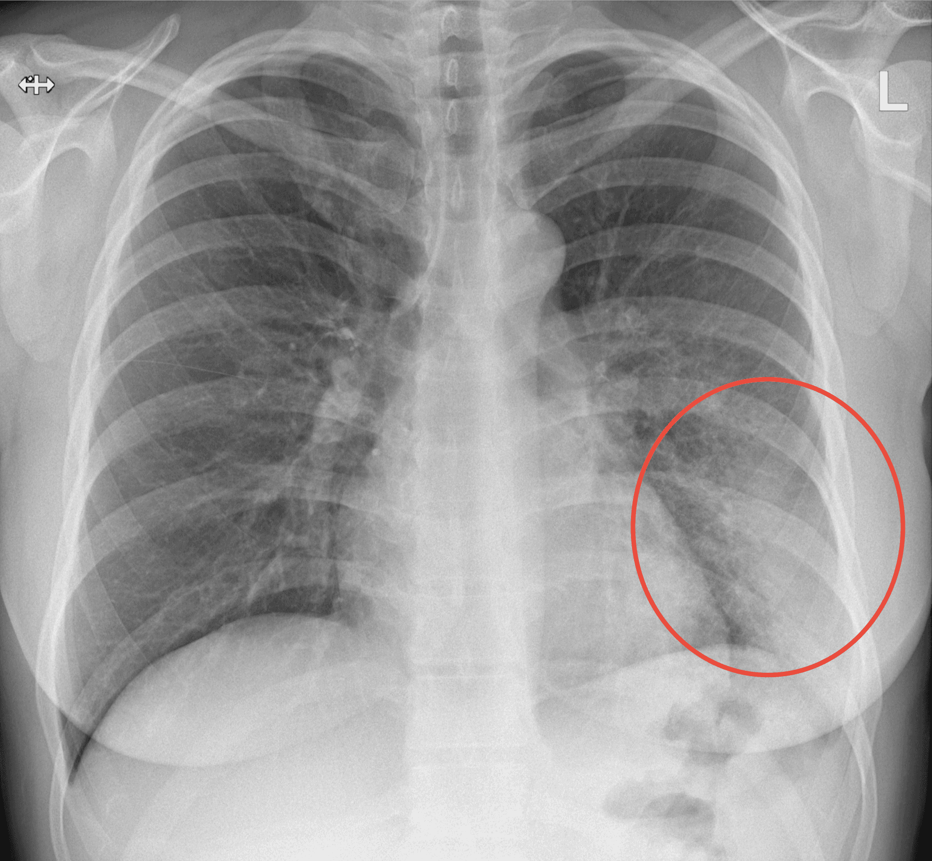
98% certainty
Medusa detected Emphysema in the lungs
Features and systems
Plug and Play Integration
Our platform offers instant compatibility with the systems you already know. It's radiology-ready out of the box.
AI Core
Medusa's AI Core learns how you work. Not just what's in the scan, but what you need next. It's a system that listens, adapts, and stays by your side.
Always ON
No toggling, and no waiting. Just constant support and diagnostics, all the time.
Great technology
amplifies expertise.

Medusa is here to elevate your practice. By automating repetitive tasks and providing deeper insights, it helps you focus on what truly matters: patient care.
Join our mission
We are building a world where technology doesn’t just diagnose faster- it gives life back its most precious gift: time. Every second we save means more moments spent living. Because in the end, it’s not about technology, it’s about life itself.



Ready to see the impact of seamless AI-driven imaging? Subscribe to get an early access that can transform your workflow.





